This page looks best with JavaScript enabled

Lateral Condyle Humerus Fracture Therapy

 ·  ☕ 4 min read  ·  ❤️ Zula Cummerata
    🏷️

Lateral Condyle Humerus Fracture Therapy

.

Lateral condyle fractures are the second most common elbow fracture after the supracondylar humerus fracture in children. Lateral humeral condyle fractures also referred to simply as lateral condyle fractures (in the appropriate context), are relatively common elbow fractures that predominantly occur in children.


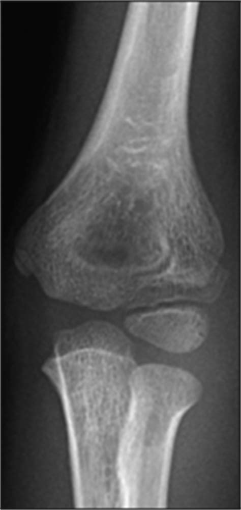
Medial epicondyle fracture | Image | Radiopaedia.org
Medial epicondyle fracture | Image | Radiopaedia.org from images.radiopaedia.org
These fractures are also prone to nonunion since the fracture is intraarticular and is bathed in synovial fluid. The severity of the fracture is graded from. They may be subtle but are hugely important to diagnose in a timely manner because if they are missed.

What radiographs are most useful for diagnosis and.

Lateral humeral condyle fractures also referred to simply as lateral condyle fractures (in the appropriate context), are relatively common elbow fractures that predominantly occur in children. Lateral condylar humerus fractures (lchfs) are the second most common fractures in children. This fracture pattern is typically through the lateral metaphysis extending into the epiphysis and often extends into the articular surface. Lateral condyle fractures account for 17% of all distal humerus fractures and 54% of distal humeral physeal fractures (see image 3). Lateral condyle fractures are the second most common elbow fracture after the supracondylar humerus fracture in children. From january 2008 to december 2009, 16 children with similar fractures and ages were grouped according to the fixation material used. What radiographs are most useful for diagnosis and. The use of bioabsorbable pins or screws is a reasonable alternative to the traditional use of metallic materials for the treatment of lateral condyle fracture of. Point tenderness over proximal humerus. The humeral condyle and articular surface have to be anatomically reduced and stabilized with. They may be subtle but are hugely important to diagnose in a timely manner because if they are missed. A humerus fracture is a break of the humerus bone in the upper arm. Most displaced fractures require an open reduction and can be. Delayed presentation of lateral condylar fractures of the humerus is relatively common in the developing regions of the world. How are humeral lateral condylar fractures classified? Randy dominguez performing surgery of the lateral condyle humeral fractured in animal care & surgical hospital. Epiphyseal fractures of the distal humerus are described in relation to their location.

Share on