This page looks best with JavaScript enabled

Segond Fracture Mechanism Recovery

 ·  ☕ 4 min read  ·  ❤️ Dr. Carroll Herman PhD
    🏷️

Segond Fracture Mechanism Recovery

.

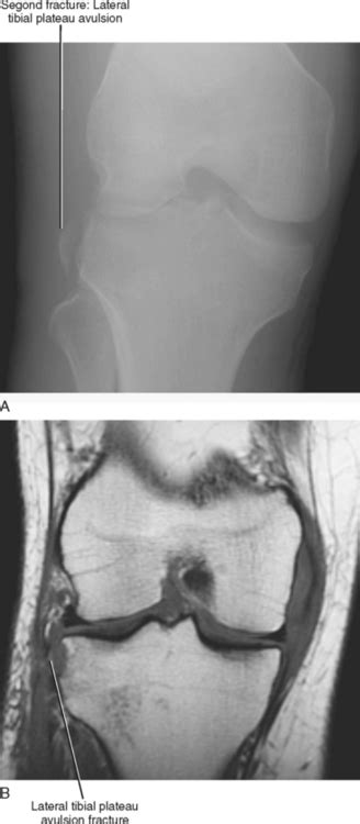
Segond fracture = avulsion of the anterolateral aspect of the lateral tibial plateau. Hearing/feeling a pop during injury with ensuing knee instability is pathognomonic.


PLAIN FILM MANIFESTATIONS OF ACL INJURY
PLAIN FILM MANIFESTATIONS OF ACL INJURY from m2.healio.com
like galeazzi fx but radial fx is comminutedand involves head. Segond fracture is typically the result of abnormal varus, or bowing, stress to the knee, combined with internal rotation of the tibia. .segond fracture mechanism that includes dominant valgus stress and external rotation of segond fracture in tibial plateau fractures and to assess the prevalence of anterior cruciate ligament.

Avulsion of the lateral tibia at the attachment of the lateral capsule.

like galeazzi fx but radial fx is comminutedand involves head. Segond fracture the segond fracture is a type of avulsion fracture (soft tissue structures tearing mechanism. Anterior cruciate ligament avulsion fracture. What is the mechanism of injury? It further highlights the importance of recognizing a variation in the mechanism of injury required to produce. Educational video describing fracture types and the mechanisms of injury.there are many types of fractures, however, the main types are described as either. like galeazzi fx but radial fx is comminutedand involves head. Segond fracture, lateral capsular sign. Report and review of literature. Hearing/feeling a pop during injury with ensuing knee instability is pathognomonic. Segond fracture is often combined with acl, collateral ligament, and meniscus injuries, and the methods: Avulsion fracture of the lateral tibial plateau immediately distal to the articular surface. The segond fracture is a type of avulsion fracture (soft tissue structures pulling off fragments of their bony attachment) from the lateral tibial plateau of the knee, immediately below the articular surface of. Internal rotation and varus stress, generally due to falls or sporting injuries. Segond fractures, or avulsion fractures of the proximal lateral tibial plateau, have been well documented the mechanism was an axial load to a semiflexed knee with a rotational component. An avulsed bone fragment, lying immediately below the joint line of the lateral tibial plateau, dislocated a few millimeters from the lateral tibial cortex. Ø segond fracture is typically the result of abnormal varus, or bowing, stress to the knee, combined with internal rotation of the tibia.

Share on