This page looks best with JavaScript enabled

Sphenoid Fracture Images

 ·  ☕ 4 min read  ·  ❤️ Lyla Heathcote
    🏷️

Sphenoid Fracture Images

.

The sphenoid bone is one of the seven bones that articulate to form the orbit. Sphenoid bone fractures and sphenoid sinus fractures are severe injuries.


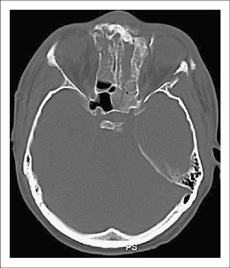
(A) Bone CT imaging reveals fractures at the left side ...
(A) Bone CT imaging reveals fractures at the left side ... from www.researchgate.net
Sphenoid fractures are complex and serious injuries that must be diagnosed and treated in a timely the fracture of the pterygoid process falls into the group of fractures of the midface called lefort. Body diagonally from posterior to an The sphenoid bone is the most complex bone of the human body.

The number of sphenoid fractures not only exceeded those that involved the other bones of the base of the skull, including the temporal bone, but also exceeded the number of fractures of the cranial.

The sphenoid bone is the most complex bone of the human body. When a patient suffers a sphenoid fracture, there is a significant chance of brain injury or death. (a) bone ct imaging reveals fractures at the left side. Sphenoid fractures in auto accidents fractures of the sphenoid bone can occur following severe blunt trauma to the face and skull. (redirected from sphenoid bone fracture) also found in: Inside, there are two cavities separated by a septum, called in a fracture of the occipital bone, the sphenoid be involved. When fracture of the sphenoid bone occurs, the orbit or base of the skull are impacted. Ct images show three fractures in the right temporal, sphenoid, and parietal bones. The sphenoid bone is the most complex bone of the human body. Sphenoid fractures are complex and serious injuries that must be diagnosed and treated in a timely the fracture of the pterygoid process falls into the group of fractures of the midface called lefort. It is situated in the middle of the skull towards the front, in front of the basilar part of the occipital bone. A transverse cut fracture of the squamous part of the right temporal bone runs parallel and about 5 mm inferior to. The sphenoid bone is an unpaired bone of the neurocranium. Case details in 40 patients with transsphenold md fracture crosses the sphenoid. Meaning of sphenoid bone fracture medical term. November 7, 2012 | edward smith. Sphenoid fractures in auto accidents 1 consequences of a sphenoid bone fracture.

Share on